M0   Acute Myelocytic Leukemia, undifferentiated
 
Criteria
ANLL, M0 
1. Large, agranular blasts (resemble ALL L2, rarely L1) 
2. Myeloperoxidase negative or < 3 percent positive; 
    B-,T lineage markers negative; 
3. CD13 and/or CD33 positive; Myeloperoxidase positive by 
    immunochemistry or electron microscopy; TdT may be positive
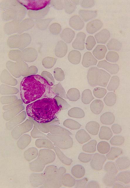
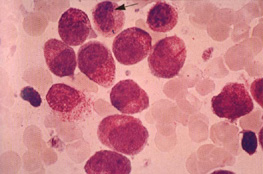
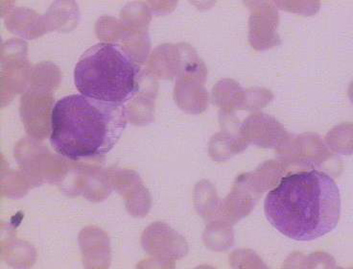
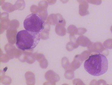
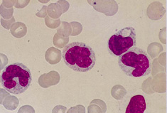
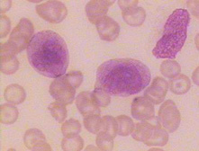
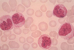
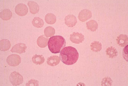
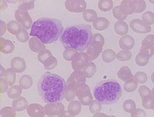
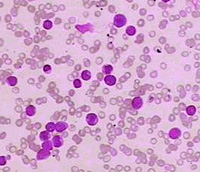
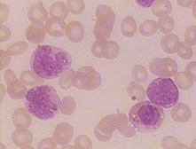
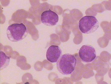
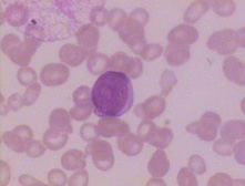
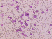
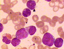
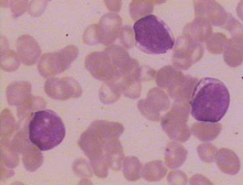
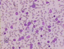
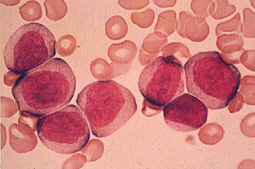
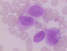
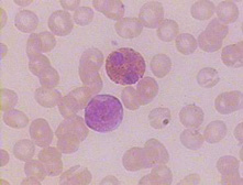
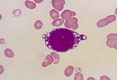
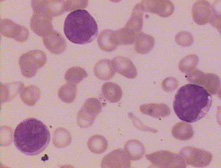
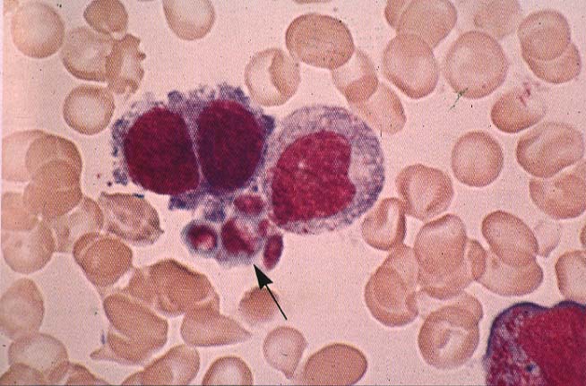
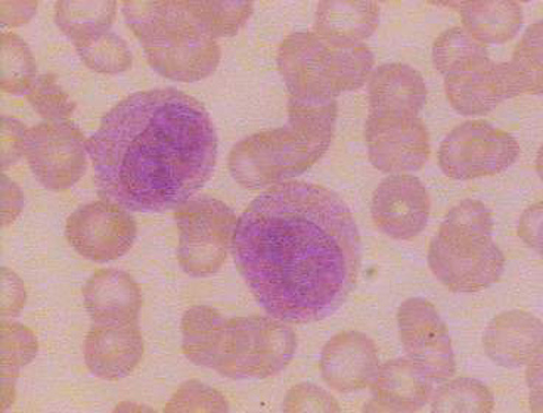
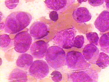
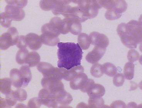
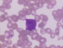
Peripheal Blood Smear
 
ภาพแสดง myeloblast 
ใน  ANLL M0 
 
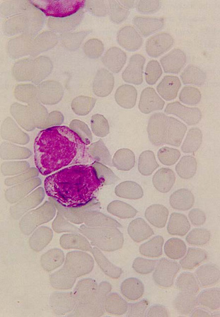
ภาพแสดง blast ใน ANLL M0 ย้อม immunoperoxidase
ติด CD 13
 
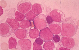
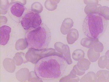
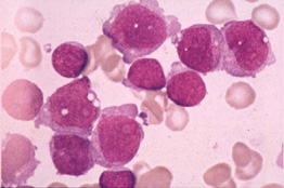
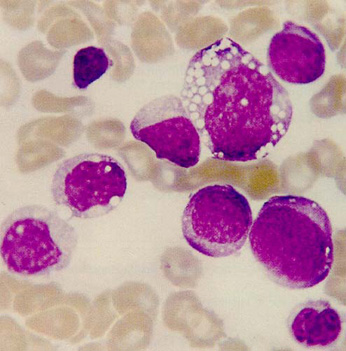
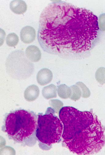
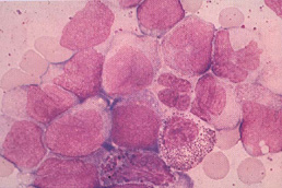
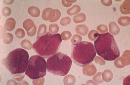
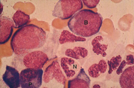
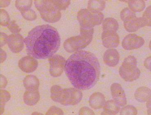
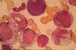
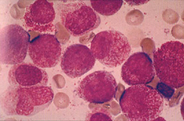
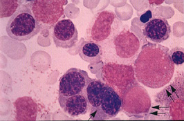
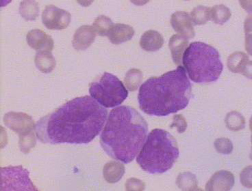
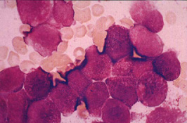
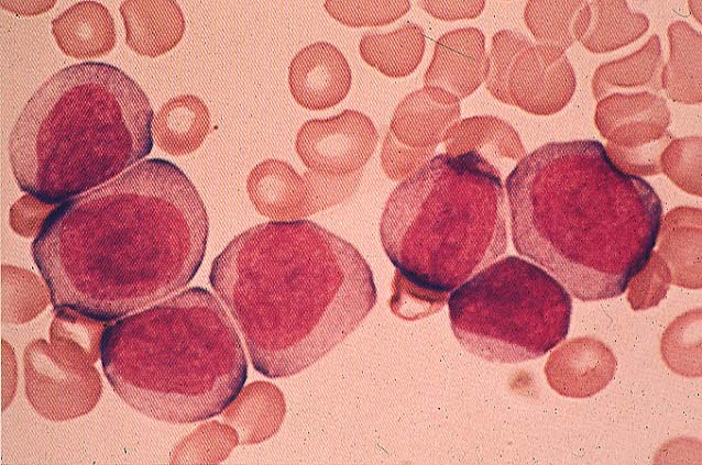
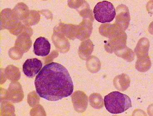
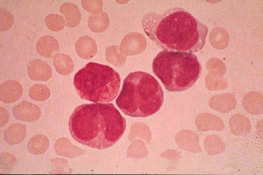
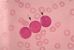
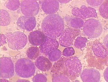
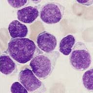
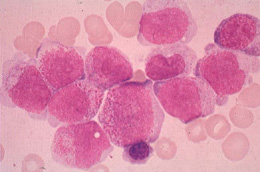
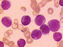
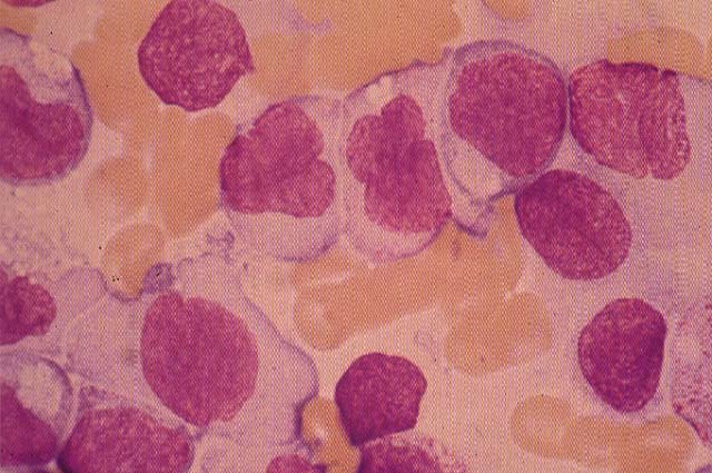
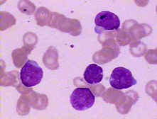
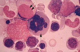
Bone Marrow Study
 
ภาพแสดง agranular blast ใน 
ANLL M0
 
ภาพแสดง blast ใน ANLL M0 ย้อม immunoperoxidase
ติด CD 13
 
 
M1 Acute Myelocytic Leukemia without maluration
 
Criteria
ANLL M1 
1. Blast cells, agranular and granular types (type I and II) >90 percent of non-erythroid cells. 
At least 3 percent of these are peroxidase or Sudan black positive 
2. Remaining 10 percent (or less) of cells are maturing granulocytes or monocytes
Peripheal Blood Smear
 
 
 
 
 
Bone Marrow Study
 
 
 
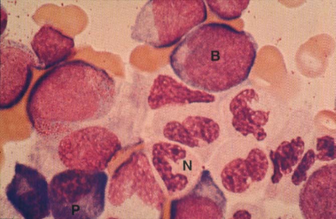
M2  Acute Myelocytic Leukemia  with maluration
 
Criteria
ANLL M2 
1. Sum of agranular and granular blasts (types I and II) is from 
30 to 89 percent of non-erythroid cells 
2. Monocytic cells <20 percent 
3. Granulocytes from promyelocytes to mature neutrophil  >10 percent 
 
Peripheral Blood Smear
 
Bone Marrow Study
 
 
 
M3  Acute  Promyelocytic Leukemia (APL)
 
Criteria
ANLL M3 
1. Majority of cells are abnormal promyelocytes with heavy granulation 
2. Characteristic cells containing bundles of Auer rods (‘faggots’) invariably present. 
Note: Microgranular variant also occurs ( ANLL,M3v) 
 
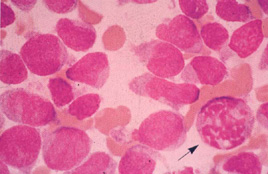
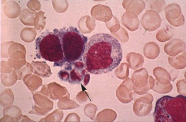
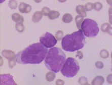
Peripheal Blood Smear
M3 
 
 
 
M3 variant (M3v)
 
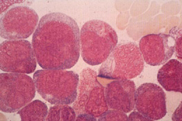
Bone Marrow Study
M3
 
 
 
 
 
ภาพ BM ของ ANLL M3 under phase 
contrast แสดง granulues ที่มีขนาดใหญ่และมากกว่าปกติ
 
M4  Acute Myelomonocytic Leukemia (AMMoL)
 
Criteria
ANLL, M4 
1. In the marrow, blasts>30 percent of non-erythroid cells. 
2. Sum of myeloblasts, promyelocytes,  myelocytes and later granulocytes is between 30 and 80 percent of non-erythroid cells 
3. >20 percent of non-erythroid cells are monocyte  lineage 
4. If monocytic cells exceed 80 percent, diagnosis  is M5 
ANLL M4 with Eosinophilia 
1. Eosinophils >5 percent of non-erythroid cells in marrow 
2. Eosinophils are abnormal 
3. Eosinophils chloroacetate and PAS positive
Peripheal Blood Smear
M4 
 
M4  with Eosinophilia 
 
Bone Marrow Study
M4 
M4 with Eosinophilia 
 
 
 
M5  Acute Monoblastic Leukemia (AMoL)
 
Criteria
ANLL M5 
1. 80 percent of marrow non-erythroid cells are monoblasts, promonocytes or monocytes 
2. M5a , 80 percent of monocytic cells are  monoblasts 
3. M5b , <80 percent of monocytic cells are monoblasts, remainders are predominant promonocytes and monocytes
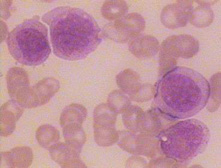
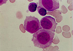
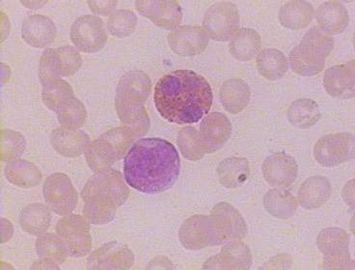
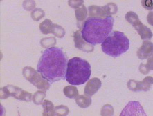
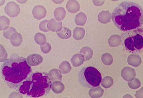
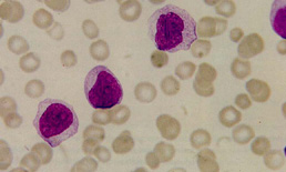
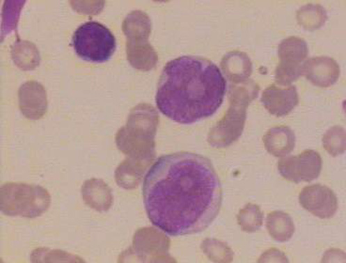
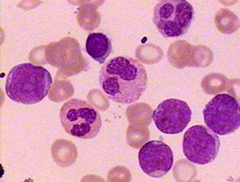
Peripheal Blood Smear
ภาพ ANLL M5a 
แสดง ภาพ Monoblasts 3 ตัว
 
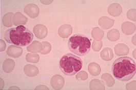
ภาพ ANLL M5b 
แสดงภาพ Promonocytes
 
ภาพ ANLL M5b 
แสดง abnormal monocytes
 
 
Bone Marrow Study
M5a
 
M5b
 
 
 
M6  Acute Erythroblastic Leukemia (AEL)
 
Criteria
ANLL M6 
1. The erythroid component of the marrow exceeds 40 percent of all nucleated cells 
2. 30 percent of the remaining non-erythroid cells are agranular or granular blasts (types I and II) 
Note; if >50 percent erythroid cells but <30 percent blasts, diagnosis becomes myelodysplastic syndrome
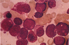
Peripheal Blood Smear
ภาพ PBS ของ ANLL M6 
พบ abnormal proerythroblast 
ซึ่งมี vacuolation มาก
 
Bone Marrow Study
 
 
 
M7  Acute Megakaryocytic Leukemia (AMegL)
 
Criteria
ANLL M7 
1. 30 percent at least of nucleated cells are blasts 
2. Blasts identified by platelet peroxidase on electron 
microscopy, or by monoclonal antibodies. 
3. Increased reticulin is common
Peripheal Blood Smear
 
Bone Marrow Study