FAB Classification of the Acute Lymphoblastic Leukemia

       การแบ่งชนิดของ Acute lymphoblastic leukemia ตาม French-American-British ( FAB ) classification  อาศัย  morphology ของเซลล์ดังนี้คือ ขนาดของเซลล์  ลักษณะของ nucleus และ cytoplasm   ความแตกต่างของเซลล์ (heterogeniety)  มาเป็นเกณฑ์ ในการแบ่งโดยแบ่งออกได้เป็น 3 ชนิด คือ  ALL L1 ,L2  และ L3 ดังที่แสดงในตารางต่อไปนี้
L1
L2
L3
L3
 
Cytology
L1
L2
L3
Size
Small
Large
Large and Homogeneous
Chromatin
Homogeneous
Variable
Finely Stippled
Shape
Regular
Irregular
Oval to Round
Nucleoli
Rare
Present
1-3
Cytoplasm
Scanty
Moderate
Moderate
Basophilia
Moderate
Variable
Intense
 
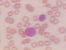
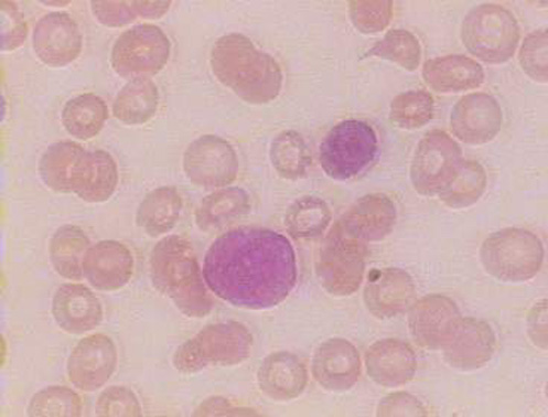
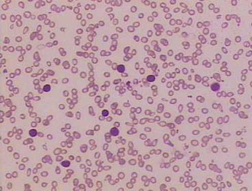
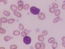
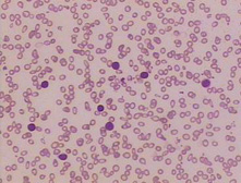
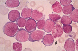
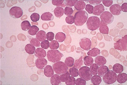
Peripheral Blood Smear in ALL
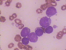
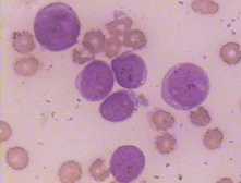
ALL L1
 
ALL L2
 
 

 

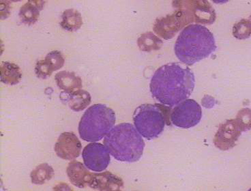
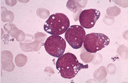
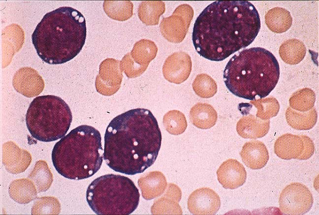
Bone Marrow
ALL L1
ALL L2
ALL L3