Adrenal Glands
ต่อมหมวกไต เป็นอวัยวะคู่ซึ่งอยู่บริเวณส่วนบนของไตทั้งสองข้าง ต่อมหมวกไตข้างขวาจะอยู่เหนือกว่าและอยู่ด้านข้าง lateral ต่อไตมากกว่าข้างซ้ายซึ่งจะอยู่หลังกว่า splenic vessels และเห็นในระดับของ pancreatic tail ดังรูปที่10

รูปที่ 10 ภาพ CT และ MRI ของต่อมหมวกไตปกติ

คลิ๊กเพื่อดูภาพใหญ่
คลิ๊กเพื่อดูภาพใหญ่
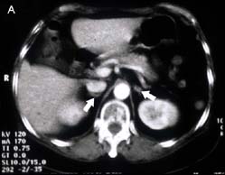
รูป A. ภาพ CT ลูกศรแสดงต่อมหมวกไตปกติข้างขวาและข้างซ้าย ( ระนาบ coronal ) รูป B. ภาพ MRI T1 WI ของต่อมหมวกไตปกติข้างขวาและข้างซ้าย (ลูกศร) เป็นระนาบตัดขวาง
รูปร่างของต่อมหมวกไตอาจเปลี่ยนแปลงตามระดับของ cross sectional imaging ข้างขวามักเป็นรูป linear หรือ inverted V หรือ K configuration ข้างซ้ายอาจเป็น linear, inverted V, triangular, inverted Y หรือรูปดาว เป็นต้น ความกว้างของขาประมาณ 2-3 มิลลิเมตร และไม่ควรเกิน 5 มิลลิเมตร(11) ส่วนใหญ่ของ cortisol-producing adrenal masses จะใหญ่กว่า 2 เซนติเมตร ซึ่งเห็นได้ชัดใน CT หรือ MRI การตรวจโดย CT มักจะเป็นทางเลือกแรกซึ่งสามารถวินิจฉัยได้แม่นยำ เนื่องจากผู้ป่วยเหล่านี้มักอ้วนมีไขมันล้อมรอบต่อมหมวกไตมากทำให้เห็นได้ชัดเจน ใช้เวลาตรวจสั้นและราคาถูกกว่า MRI
ตัวอย่างของ adrenal adenoma ดังรูปที่11
คลิ๊กเพื่อดูภาพใหญ่
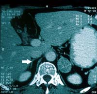
รูปที่11 ภาพเอกซเรย์คอมพิวเตอร์ (CT) ของผู้ป่วยหญิงที่มีอาการทางคลินิกเป็น Cushing syndrome แสดงก้อนที่ขาข้างหนึ่งของต่อมหมวกไตข้างซ้าย (2) ซึ่งผลทางพยาธิเป็น adenoma ข้างขวาปกติ (ลูกศร)(ได้รับภาพอภินันทนาการจาก พ.ญ.ลัดดาวัลย์ วัชระคุปต์)
Pheochromocytoma เกิดจาก neural crest tissue (adrenal medullar) พบเป็นทั้งสองข้างได้ประมาณ 10% และใน extra adrenal sympathetic paraganglia ซึ่งพบประมาณ 15% ส่วนใหญ่อยู่ใน abdomen (Organ of Zuckerkandle) ซึ่งอยู่เหนือ aortic bifurcation ดังรูปที่12
คลิ๊กเพื่อดูภาพใหญ่
รูปที่12 แสดงตำแหน่งที่อาจพบ pheochromocytoma
แหล่งที่มา : Manger WM, Gifford RW.Pheochromocytoma.New York, Springer-Verlag 1977
การตรวจทางรังสีวิทยาใน Pheochromocytoma ได้แก่
1. CT scan จะพบก้อนและวินิจฉัยได้ 90-95%

2. MRI จะพบมี signal intensity ขาวมากในภาพ T2 เนื่องจากมีน้ำในเซลล์มากและมีเลือดไปเลี้ยงมาก บางรายอาจพบจุดเลือดออกได้
3. 131I-MIBG (Metaiodobenzylguanidine) เป็นการตรวจทางด้านเวชศาสตร์นิวเคลียร์ ซึ่งมีความไว (sensitivity) สูงเท่ากับ 88-90%(12) และความจำเพาะ (specificity) สูงมากเท่ากับ 98-100%(13)
นอกจากนี้ MIBG scan ยังสามารถเห็นเนื้องอกที่มีการแพร่กระจายไปที่อื่นนอกต่อมหมวกไตได้ดีอีกด้วย
MIBG เป็น guanithidine analog ซึ่งสามารถถูกจับโดย chromaffin cell ดังนั้น pheochromocytoma ซึ่งเป็นเนื้องอกที่ประกอบด้วย chromaffin cell จึงสามารถจับ MIBG ได้ ตัวอย่างภาพการวินิจฉัยดังรูปที่13
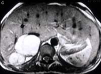
รูปที่ 13 แสดง Pheochromocytoma ในผู้ป่วยหญิงอายุ 42 ปี
คลิ๊กเพื่อดูภาพใหญ่

รูป A.
ภาพ 131I-MIBG whole-body imaging แสดง pheochromocytoma ขนาดใหญ่ที่ต่อมหมวกไตทั้งสองข้าง (ลูกศร) ซึ่งก้อนเนื้องอกจับ MIBG อย่างชัดเจน
คลิ๊กเพื่อดูภาพใหญ่
รูป B. ภาพ MRI T2 ระนาบ coronal แสดงก้อนใหญ่ตะปุ่มตะป่ำข้างขวา และก้อนเล็กข้างซ้าย ซึ่ง singal intensity ไม่เท่ากัน
(M = adrenal mass, RK = right kidney, LK = left kidney)
คลิ๊กเพื่อดูภาพใหญ่
รูป C. ภาพ MRI T1 ระนาบตัดขวางหลังการฉีด Gd-DTPA แสดง enhancement ขาวมากในก้อนใหญ่ส่วนบนของต่อมหมวกไตข้างขวา