2.
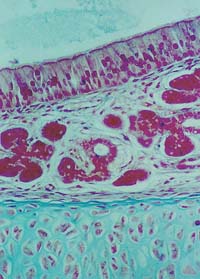
In a pseudostratified epithelium,
.
 |
- 1.
all cells rest on a basement membrane.
- 2.
all cells reach the free surface, but only some rest on the
basement membrane.
- 3.
all apical cell membranes are modified as microvilli.
- 4.
there are two layers of cells, and only the basal cells rest
on the basement membrane.
- 5.
there are two layers of cells and two levels of nuclei.
|
|