
Go to:

TOC
|
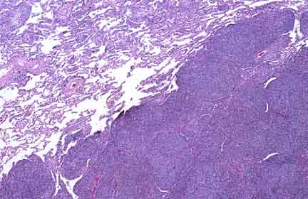
Large Cell Follicular Lymphoma
An example of large cell follicular lymphoma, here in the lung. This is the least common of the 3 types of follicle-forming lymphoma. The large cells are more "blastic" than small-cleaved ones, and thus most of the time they have forgotten such sophisticated lymphoid behaviors as forming follicles.
|
A neoplastic follicle at medium power. Even though these are relatively high grade neoplastic lymhoid cells, note that the mitotic rate (as well as you can perceive it at this power) is lower than in the ferociously mitotic normal germinal center.
|
The large cells predominate. They are sometimes called "centroblasts".
|

Table of Contents
|