
Go to:

TOC
|
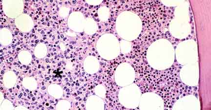
Large Follicular Center Cell Lymphoma in Marrow

An * marks the area of marrow involvement. Even at this low magnification, it is conspicuous because of the decreased fat. If you look closely, you'll see that the normal marrow precursors have been replaced by large, irregular cells.
|
Table of Contents
|